胡迪医学 Hudi Medical Science

胡迪医学

SADI-S术后袖管状胃缝钉线上瘘的处理方法

浏览量:3614 / 发布时间:2021-11-24

胡迪主任给大家介绍一种新型减重手术,

手术名为腹腔镜袖式胃切除术

加单吻合口十二指肠回肠吻合术( SADI-S)。

这个手术的具体细节,

胡迪主任会在近期发布的

《减重手术方式演变简史》中细说。

欢迎各位到时候收阅。


今天介绍SADI-S手术的一个常见并发症,

袖式胃切除缝钉线上瘘及其处理方法。

SADI-S术后最常见瘘发生的部位

自从临床上引入了SADI-S手术以来,

袖管状胃缝钉线上,

是十二指肠转流手术后

瘘发生最常见部位。

根据报道,其发病率为1%到4%。

在过去的5到10年里,

随着外科医生在单纯腔镜

袖式胃切除手术方面经验的增加,

并发症发病率有所下降。


瘘发生的最常见部位

在袖管胃上三分之一地方,

由于袖管胃缩窄或狭窄,

导致胃内爆破压升高,

在靠近食管胃结合部附近的

袖管胃缝钉线上,因这里相对比较薄弱,

容易发生破裂而形成瘘。

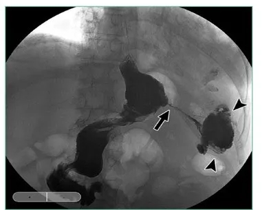
640.webp (28)

图上显示胃底切割线交叉处是瘘发生部位,

图片来自互联网,版权归原著者,

仅供学习和交流之用,不是商业推广之用

瘘的处理方法

在没有明显阻塞的情况下,

早期紧急处理方法就是

再次手术手工缝合或再次用吻合器吻合,

冲洗受影响的区域。

如果早期污染不严重,

紧急处理得当,

能很快地完全愈合。


如果是慢性瘘管形成或

术后后期出现瘘,

情况就会复杂很多。

瘘一发生就需要营养支持和给予抗生素,

并辅以充分的引流。


引流通常可以通过外科手术或

介入放射学的帮助下进行。

但最近的研究表明,

内镜技术也能实现充分引流。

如内镜伤口负压清理术或

内镜造口术。


然而,最重要、最佳治疗是

寻找和缓解梗阻点,

梗阻通常发生胃切迹呈角的地方。

通过放置内镜支架可以解决部分病情,

但在一些谨慎的病例中,

最终可能需要手术切除和Roux-en-Y重建。

Leaks from Sleeve Gastrectomy

A leak from the SG portion of the procedure has historically been the most common area for a leak after a duodenal switch. The incidence has been reported as 1 to 4 percent, depending on the study evaluated. Over the last 5 to 10 years, the incidence has dropped as surgeon experience has increased in performing the SG as a stand-alone procedure. The most common area for a leak is in the upper one-third of the sleeve due to narrowing or stricture of the sleeve at the incisura angularis (Figure 2). This will cause an increase in pressure in the sleeve with a blowout at the upper portion of the staple line near the gastroesophageal junction since this is the weakest point in the sleeve. The treatment of a sleeve leak in the acute setting without a significant obstruction involves a washout of the affected area with resuturing or restapling of the sleeve. Many of these can heal completely if addressed early enough with minimal contamination. In the chronic setting or with a chronic fistula, it gets a bit more complicated. Nutritional support and antibiotics are required initially, combined with adequate drainage. Drains can usually be placed via a surgical approach or with the aid of interventional radiology, but recent studies have shown that drainage can also be facilitated with endoscopic techniques, such as an endoscopic wound vac or endoscopic septotomy. The most important aspect though for definitive treatment is to look for and relieve the obstructive point, which is usually at the angularis. This can be done with placement of an endoscopic stent, but in reticent cases, eventual surgical resection and Roux-en-Y reconstruction might be required.

关注胡迪医学,了解更多世界医学动态

640.webp (4)

声明:本文系健瑞宝医疗整理创作,如需转载请取得许可,转载时注明出处。本文属医疗技术讲座性质,不应被视为任何医疗建议或治疗方案,如您需要,请咨询执业医师。刊载上述内容,“胡迪医学”尊重信息出处的原意,对文中陈述、观点和判断保持中立,不对所包含内容的准确性、可靠性或完整性提供任何明示或暗示的保证。如果您认为文章内容或者来源标注与事实不符,请告诉我们,我们将与您积极协商解决。谢谢大家关注"胡迪医学"。


文章中图片和相关数据来自互联网,图片及资料版权归原作者,如有异议,请及时和我们联系,我们尽快协商解决。

返回列表